Because Every Tooth Deserves Care.
The Gift of a Smile: How a Simple Act Changed Jojo's World
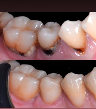
Severity:
Teeth Problems:
A New Bite on Life: How Jojo Found His Smile Again
Here at Smile Pinoy, we witness daily the profound impact a healthy smile has on a person's life. But in the Philippines, the cost of comprehensive dental care, especially procedures like complete dentures, remains out of reach for many. We are incredibly grateful for the sponsors and donors who make our mission possible. Because of them, we can change lives—lives like Jojo's.
The Reality for Many
Before we share Jojo's story, let's be honest. The waiting list for donated dental procedures is long. The materials are expensive, and the laboratory and clinical hours are extensive. We wish we could help everyone, but the sad truth is, we can only choose a few. This makes every successful case a true celebration, a testament to the power of community and compassion.
Meeting Jojo: A Life Without Teeth
Jojo, 68, used to work as a construction laborer in Cebu. Over the years, due to a combination of poverty, lack of access to care, and the inevitable toll of time, he lost his teeth. One by one, they succumbed to decay and pain until, finally, "wala nagyud nabilin nga ngipon sa taas ug ubos" (there were truly no teeth left on the top and bottom).
His life shrank with every tooth he lost.
Eating became a struggle. He was limited to lugaw (porridge), sopas, and other soft foods he could gum down. He missed the simple joy of eating a piece of liempo (pork belly) or a fresh apple. His nutrition suffered, and so did his spirit.
But the physical hardship was only part of the story. The social and emotional toll was heavier. Jojo became reluctant to speak, covering his mouth with his hand. He stopped going to community gatherings, too embarrassed by his sunken mouth. He felt isolated, a shadow of the vibrant man he once was. His smile had disappeared, and with it, a part of his identity.
The Turning Point: A Glimmer of Hope
Jojo's daughter heard about our clinic's sponsorship program through a local barangay health worker. With a heart full of hope, she helped her father apply. When we reviewed Jojo's case, his situation was exactly what this program was designed for. He had no teeth left, meaning he was a perfect candidate for a set of complete, full dentures that would restore both function and form.
We chose Jojo, and the day we called him to tell him the news was one we will never forget. The relief and joy in his voice was palpable.
The Journey to a New Smile
The process began with taking detailed impressions of his gums. For someone with no teeth, the goal is to create dentures that are not only functional but also comfortable and natural-looking. Our dental team worked meticulously with the lab to craft a set of dentures just for Jojo.
The day of the final fitting arrived. We placed the dentures in his mouth. There was a moment of adjustment, of unfamiliar feeling. Then, we handed him a mirror.
Jojo stared at his reflection. He touched his lips, now fully supported. He tentatively smiled, then a wider, more genuine smile broke through. Tears welled in his eyes. For the first time in over a decade, he saw himself with a complete smile. His face was no longer sunken; he looked healthier, younger, and full of life.
A New Life, One Bite at a Time
The transformation was immediate. A few weeks later, we followed up with Jojo.
"Doc, nakakaon na gyud kog pan!" he exclaimed with a beaming smile. ("Doc, I can finally eat bread!") He talked about enjoying a simple siopao (steamed bun) and how he was looking forward to joining his family for a proper meal during the next fiesta.
But more than the food, it was the confidence. He no longer covered his mouth when he laughed. He was re-engaging with his neighbors. He had found a new lease on life, all because of the gift of a new smile.
A Message of Thanks and Hope
Jojo's story is a powerful reminder of why we do what we do. It is made possible only through the generosity of our donors. To our sponsors, you are not just funding dentures; you are restoring dignity, joy, and the simple human right to eat, smile, and connect.
To those still on our waiting list, we see you. We are fighting for more resources and more sponsors so we can create more stories like Jojo's.
A smile is a universal language. And thanks to the kindness of others, Jojo can once again speak it, loud and proud.












