Transforming Smiles, Restoring Confidence.
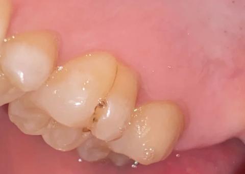
Back Molar with Deep Fissures Case Analysis
Severity:
Teeth Problems:
Dental Case Analysis: Back Molar with Deep Grooves and Early Decay Risk
Case Overview
The image shows a posterior molar tooth with deep occlusal grooves (fissures). While the enamel surface appears mostly intact, the depth of the grooves creates a high risk area for early tooth decay due to plaque and food retention.
Zoom 100% Visual Examination
Observed Findings
-
Back molar with pronounced pits and fissures
Broken Back Tooth with Deep Cavity Case Analysis
Severity:
Teeth Problems:
Dental Case Analysis: Broken Back Tooth with Deep Cavity
Case Overview
The image shows a posterior tooth located near the tongue side with visible enamel breakdown and a deep cavity. The tooth structure appears weakened, suggesting advanced decay and possible fracture.
Zoom 100% Visual Examination
Observed Findings
-
Back tooth with broken enamel edge
-
Deep cavity extending into dentin
Early Interproximal Tooth Decay Case Analysis
Severity:
Teeth Problems:
Dental Case Analysis: Early Interproximal Tooth Decay With Enamel Breakdown
Case Overview (100% Zoom Visual Inspection)
The image shows posterior teeth (side view) with a small dark lesion located between two adjacent teeth. The enamel surface is mostly intact, but there is localized discoloration and a pinpoint cavity, consistent with early interproximal dental caries.
Full Tooth Scaling and Visual Assessment
Affected Tooth
-
Small dark spot at the contact area
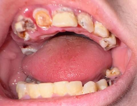
Severe Tooth Decay and Gum Infection Case Analysis
Severity:
Teeth Problems:
Dental Case Analysis: Multiple Advanced Tooth Decay With Gum Inflammation
Case Overview (100% Zoom Visual Inspection)
The image shows the upper and lower dental arches with multiple teeth affected by advanced decay, visible dark cavities, broken tooth structure, and inflamed gum tissue. Several teeth show severe enamel and dentin destruction, indicating a high-risk oral condition requiring urgent dental care.



















