Dentures That Feel Natural, Look Beautiful.
Full Mouth Rehabilitation - From Severe Decay to a Perfect Smile Transformation
Severity:
Teeth Problems:
Full Analysis and Diagnosis
Upon examining the two images (before and after):
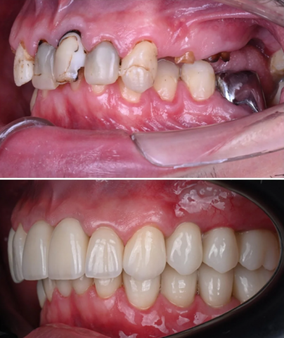
Before Treatment (Top Image):
-
Severe tooth decay and discoloration: Multiple teeth show deep caries and enamel loss, particularly on the upper front and premolar areas.
-
Fractured crowns and metal restorations: Indicate previous dental work that has failed or aged significantly.
-
Gum inflammation: Swelling and redness suggest chronic gingivitis or periodontal disease.
-
Malalignment and bite collapse: Uneven occlusion with possible overclosure due to missing posterior support.
-
Possible pulp exposure or infection: Pain reported by the client could indicate irreversible pulpitis or periapical involvement.
After Treatment (Bottom Image):
-
Complete prosthetic rehabilitation: New ceramic or zirconia crowns/veneers appear to have restored form, color, and bite alignment.
-
Healthy gum contour: The gingiva looks pink and firm, showing successful periodontal healing.
-
Proper occlusion and esthetics: Teeth now exhibit correct height, alignment, and natural translucency.
Treatment Process Overview
-
Initial Phase (0–7 days):
-
Deep cleaning (scaling and root planing) to control infection.
-
Root canal therapy on infected teeth.
-
Temporary crowns to restore bite and function.
-
-
Rehabilitation Phase (7–14 days):
-
Tooth preparation and impression-taking for permanent crowns.
-
Fitting and cementation of all-ceramic restorations.
-
Occlusal adjustments for comfort and bite stability.
-
Estimated Healing and Adjustment Time
-
Soft tissue (gum) healing: 10–14 days post final cementation.
-
Full bite adaptation: Up to 4 weeks for muscles and joints to fully adjust.
-
Sensitivity and mild discomfort: Common for 1–2 weeks as tissues settle.
If Pain Persists Beyond 14 Days
Possible causes include:
-
Occlusal high spot: Crown too high, causing pressure.
-
Residual infection under a crowned tooth.
-
Gingival irritation due to cement residue or improper margins.
-
Bruxism (night grinding) stressing the new crowns.
When the client first came in, they said:
“Hi, my teeth hurt. I can’t eat properly anymore.”
Upon close examination, severe dental decay and multiple broken crowns were found. The front teeth had deep cavities and worn enamel, while the back teeth showed metal restorations that had failed over time. The gums were swollen, indicating possible infection beneath the roots — a classic case of chronic pulp and periodontal damage.
The bite had also collapsed due to missing teeth and uneven alignment. This caused jaw strain, facial asymmetry, and constant sensitivity.
Step-by-Step Treatment Process
Infection Control and Cleaning (Days 1–7)
-
Deep dental cleaning to remove all plaque, tartar, and infection.
-
Root canal treatments on painful and infected teeth.
-
Temporary crowns placed to restore comfort and basic chewing ability.
Tooth Preparation & Design (Days 8–10)
-
Teeth reshaped and scanned for crown fitting.
-
Digital smile design used to match shape, color, and proportion.
-
Gums allowed to rest before final placement.
Permanent Crowns and Bite Alignment (Days 11–14)
-
Final ceramic and zirconia crowns installed for maximum durability.
-
Bite checked and refined for even contact.
-
Pain and pressure points eliminated during final fitting.












