Healthy Teeth, Happy Life.
Services
Is a surgical component that interfaces with the bone of the jaw or skull to support a dental prosthesis.
Tooth movement and the guidance of facial development. To maximize your smile and improve your dental health.
Dental hygienist will remove the plaque and tartar (plaque that builds up and hardens on the tooth surface and can only be removed with professional cleaning)
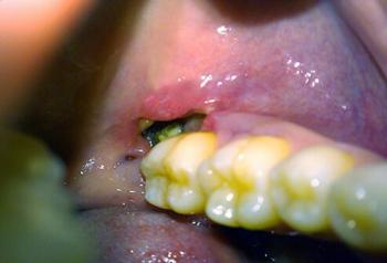
- 3rd Molar Implacted Extraction
Third molar extraction is one of the most frequent procedures in oral surgery. We need to know the xrazy to know the case of your teeth.
- Composite / Porcelain Veneers
Porcelain veneers are thin shells of porcelain adhered to the outer-surface of the tooth. This material are made to match your teeth (or whiten) and improve your overall smile.
- Teeth Whitening
- Dental Fillings
This dental technic used for filling cavities and they vary in strength and color. The materials use have several varities such as gold, silver amalgam (a composite of mercury, silver, and other metals), tooth-colored composite material, porcelain, and a special type of glass.
- Dental Implants Fixing
- BPS Dentures Fixing
Test Fit: A wax version dentures is created and tried in your mouth to check the fit, appearance, and comfort. Adjustments are made if necessary until you get the right feeling.
- Extraction An experienced dentist ensures that the teeth extraction process is fully safe, efficient, and as pain-free as possible, leading to better outcomes and a smoother recovery. This makes the professional more better than less experience.
- Crowns and Bridges Get Expert Advice: Your dentist will evaluate your specific needs, including the location of the crown or bridge in your mouth, your bite, and aesthetic considerations. They can recommend the most suitable materials on your teeth situation.
- Impaction / Impacted Tooth Extraction The best way is always select the advanced and experienced dentist for impacted tooth extraction is crucial, especially in Cebu, Philippines, where the procedure can present unique challenges. 9 things to remember during Impaction and Impacted Tooth Extraction
- Inlays and Onlays Inlays and onlays are advanced dental restorations that require a high level of expertise and precision from a professional dentist.











