We Bring Back the Sparkle in Your Smile.
Garrido Dental Clinic (GDC) - Surigao City - Surigao del Norte

Geolocation Clinic:
Telephone / Mobile :
0939 919 0460 / jheniefebgarrido@gmail.com / garridodentalclinic.com/facebook.com
Garrido Dental Clinic (GDC) – Your Trusted Dental Care in Surigao City
Great Services Right Here in Mindanao!
https://www.facebook.com/docpykes/
At Garrido Dental Clinic (GDC), we pride ourselves on delivering top-quality dental care to the people of Surigao City and beyond. Whether you need a routine check-up, tooth extraction, or advanced dental treatments, our expert team is here to ensure your smile stays healthy and bright!
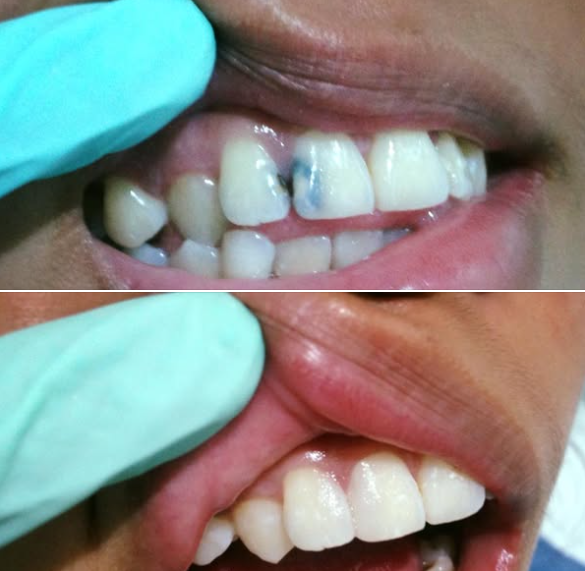
Rex’s Story: A Small Problem That Turned Into a Big Issue
Meet Rex, a hardworking professional from Surigao City. A year ago, he noticed a small toothache but decided to ignore it, thinking it would go away on its own. To save money, he avoided visiting a dentist, hoping that painkillers and home remedies would fix the problem.
But guess what?
Instead of saving money, Rex’s small issue turned into a major dental disaster!
-
1 Month Later: The pain worsened, but Rex kept delaying treatment.
-
6 Months Later: The infection spread, causing swelling and unbearable pain.
-
1 Year Later: His tooth became fully infected, affecting nearby teeth and gums.
Rex finally visited a dentist, but by then, the damage was severe. What could have been a simple, affordable filling turned into multiple root canals, extractions, and costly treatments—costing him way more than if he had addressed the problem early!
Expert Advice from GDC:
✅ Don’t wait! Small dental issues can escalate quickly.
✅ Prevention is cheaper than cure. Regular check-ups save you money in the long run.
✅ Early treatment = Less pain, less expense!
Visit Garrido Dental Clinic Today!
Don’t let a small problem become a big (and expensive) disaster! At GDC, we provide expert dental care with compassion and professionalism.
Your smile is our priority! Come and visit us today!
Thank you for trusting Garrido Dental Clinic! We can’t wait to take care of your dental needs.











