Where Bright Smiles Begin.
Urgent Dental Emergency: Visual Analysis, Pain Diagnosis deep cavity
Severity:
Teeth Problems:
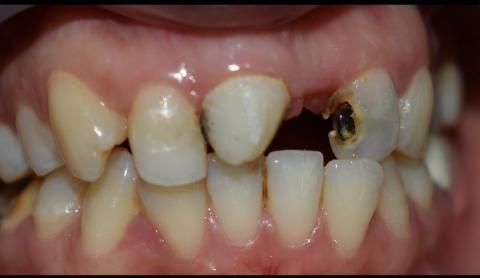
Visual Analysis of Dental Case
Based on the uploaded image, here is a detailed, non-diagnostic observation of the condition:
Primary Observations
| Feature | Observation |
| Missing Tooth Structure | The tooth just to the right of the center appears to have a large portion of its structure missing. Only the root or a heavily compromised crown remains. |
| Severe Decay (Caries) | The tooth to the immediate right of the large gap/missing crown has a very large, dark, and deep cavity. The dark color suggests significant decay that has likely reached the pulp (nerve) chamber. This is a common cause of pain. |
| Compromised Tooth | The tooth to the left of the large gap appears fractured or severely worn/decayed near the gumline. |
| General Condition | Multiple teeth exhibit yellowing, potential surface staining, and signs of decay/wear on other surfaces (e.g., the tooth to the left of the central group). |
| Gum Tissue | The gums appear generally pink, but there is some possible inflammation or recession visible around the affected teeth. |
Potential Causes for Pain (Client's Complaint)
Given the visible conditions, the pain the client is experiencing is likely due to:
-
Irreversible Pulpitis: The deep decay in the second tooth from the left has likely inflamed or infected the nerve, causing severe pain.
-
Abscess/Infection: The heavily decayed/compromised teeth may have developed an infection at the root tip (abscess), which causes throbbing pain and swelling.
-
Exposed Dentin/Root Surface: Lost enamel or exposed root surfaces from decay or fracture can lead to hypersensitivity to temperature or pressure.
Possible Diagnosis and Treatment (Deep Examination)
| Affected Tooth | Possible Diagnosis | Likely Treatment Path |
| Tooth with Severe Decay (Right of the gap) | Deep Caries leading to Irreversible Pulpitis or Necrosis (death of the nerve). | Root Canal Therapy followed by a Crown, OR Extraction if it cannot be saved. |
| Tooth with Large Structure Loss (The gap) | Failed restoration, fractured tooth, or previous Extraction due to trauma/decay. | Dental Implant with a Crown or a Fixed Bridge to replace the missing tooth. |
| Tooth to the Left of the Gap | Fracture, decay, or severe wear. | Filling or Crown after removing the decay, depending on the extent of damage. |
Time Frame to Heal (Hypothetical)
The timeframe to be pain-free can vary greatly:
-
Immediate Relief: After the initial intervention (e.g., an extraction or starting a root canal with appropriate medication), pain typically subsides within 1-3 days.
-
Full Healing of an Extraction: Can take 7-14 days for the initial soft tissue to heal.
-
Completion of a Root Canal/Crown: The process itself can take 2-4 weeks across multiple appointments.
-
Dental Implant Therapy: This is a long-term process, often requiring 3-6 months for the implant to fuse with the bone before the final crown can be placed.
If Treatment Takes 14 Days, What Will Be the Issue That Will Scale Up?
If the necessary treatment (especially for an active infection/pulpitis) is delayed by 14 days:
-
Spread of Infection: An abscess or localized infection can spread to surrounding bone and tissue, potentially causing facial swelling (cellulitis), which can be life-threatening and require hospitalization.
-
Increased Pain: The pain will likely become more intense, continuous, and potentially unresponsive to over-the-counter pain medication.
-
Further Tooth Damage: The decay will continue to progress, potentially compromising the remaining tooth structure further and making a successful restoration (like a crown) impossible, leading inevitably to extraction.
Next Step: Visit Nearest Location Area
To address the pain and significant dental issues, you need to see a dentist immediately.
I can help you find a dental clinic in Cebu using the directory listing you provided:
https://cebudentalimplants.com/map-dental-clinic
Would you like me to use the search tool to provide the closest listed dental clinic address and contact number to a specific city or area in Cebu? Please provide the location (e.g., "Mandaue City," "Lapu-Lapu City," or "Cebu City").
That's an excellent next step. Since the pain is a primary concern, finding a local clinic quickly is crucial.
While I cannot directly access the interactive map on the cebudentalimplants.com website you linked, my search found the listing for the clinic that is likely associated with that domain:
Immediate Action
-
Call them first: Do not walk in. Call the clinic you choose to explain the urgency of your "hurting teeth" and request an emergency appointment right away.
-
Location Check: Use the map on the cebudentalimplants.com/map-dental-clinic link yourself, or confirm a clinic's exact location on Google Maps to find the one closest to you.












