Dentures That Feel Natural, Look Beautiful.
Orthodontic Consultation for Adult Crowding and Smile Design
Severity:
Teeth Problems:
Initial Image Analysis & Client Concerns
-
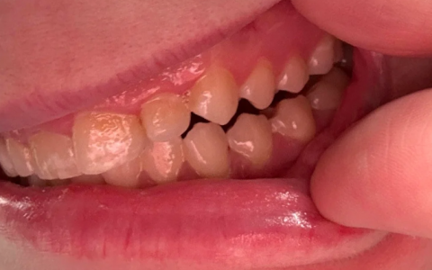
Image Observations: The photograph shows both upper and lower teeth, appearing to be the posterior (back) view, or possibly a frontal view with pronounced crowding/unevenness.
-
The teeth show visible crowding (lack of space, teeth overlapping).
-
There is a clear appearance of unevenness, which you noted, and the teeth appear to be of different sizes or shapes.
-
The alignment is clearly compromised, suggesting a possible malocclusion (bad bite), which aligns with your comment that the teeth "don't line up properly on my right side."
-
-
Client Concerns (25F):
-
Can my teeth be fixed with braces?
-
Should I get veneers?
-
Teeth look "small and not grown up enough."
-
Teeth are uneven and don't line up properly on the right side.
-
Goal: A "perfect smile."
-
Full Analysis and Treatment Options
Your situation involves both alignment (orthodontic) and aesthetics (cosmetic) issues.
| Treatment Goal | Braces (Orthodontics) | Veneers (Cosmetic Restoration) | Combined Approach (Ortho then Veneers) |
| Fixes Bite/Alignment | YES (Gold Standard). Addresses the root cause of malocclusion (the bite) and crowding by moving teeth to a correct, functional position. | NO. Only covers the front surface. Does not correct a malocclusion, which can lead to functional issues and veneer failure. | YES. Braces align the teeth, creating a stable foundation, and veneers address shape/size/color. |
| Fixes "Small/Uneven" Look | PARTIALLY. Straightening may make them look more uniform, but it does not change the tooth size or shape. | YES. The veneer can be sculpted to create a desired size, length, and "grown up" appearance. | BEST OPTION. Braces create space; veneers perfect the aesthetics. |
| Impact on Natural Teeth | Minimal. Non-invasive; no natural tooth structure is removed, making it reversible. | Irreversible. Requires removing a small layer of enamel to place the veneer. | Braces are non-invasive; veneer prep is irreversible. |
| Time Frame | Long-Term. Typically 1.5 to 3 years for adult cases, depending on complexity. | Short-Term. Can be completed in 2-3 appointments over a few weeks. | Longer than veneers alone, but the most comprehensive and stable result. |
Conclusion on Treatment
Given your specific concerns about unevenness, not lining up, and teeth size/shape, the most comprehensive and structurally sound plan is likely the Combined Approach, though braces/aligners alone can fix the alignment and bite.
-
Braces/Aligners (Recommended First Step): They are the only way to correct the underlying malocclusion and crowding, which is essential for long-term dental health and stability. Options include traditional metal braces, ceramic braces, or clear aligners (like Invisalign).
-
Veneers: These would be the final step to achieve the perfect "size and shape" you desire after the teeth are straight.
Deep Examination: Time, Process, and Risks
Time Frame to "Heal" (Complete Treatment)
-
Braces/Aligners: For an adult with crowding and alignment issues, the average treatment time ranges from 18 to 36 months in the Philippines, followed by mandatory retainer wear to prevent relapse.
-
Veneers: The process takes about 2-3 weeks after the initial consultation.
-
If it takes 14 days: Only a very minor cosmetic change (like minor smoothing or small composite filling) could be done in this time frame. Complex alignment (braces) or full cosmetic reconstruction (veneers) cannot be completed in 14 days.
Process to Execute
-
Orthodontic Consultation: See an Orthodontist for a comprehensive exam, including X-rays and bite molds. They will diagnose the specific type of malocclusion.
-
Treatment Plan: Determine if the correction requires extractions to create space for alignment.
-
Active Treatment: Undergo braces or clear aligners for the prescribed duration.
-
Retention: Wear a retainer (fixed and/or removable) indefinitely to hold the teeth in their new position.
-
Cosmetic Enhancement (Optional): If needed, see a cosmetic dentist for veneers to adjust tooth shape, length, and color for your desired "grown up" look.
What Will Be the Issue That Will Scale Up?
The issue that will scale up if left untreated is the Malocclusion and Crowding.
-
Crowding Complication: Crowded and overlapping teeth are extremely difficult to clean effectively, leading to:
-
Increased risk of plaque buildup and gingivitis (gum inflammation).
-
Higher risk of dental decay (caries) between the overlapping teeth.
-
-
Malocclusion Complication: An improper bite can lead to abnormal wear patterns on the enamel (attrition) and potentially contribute to Temporomandibular Joint (TMJ) disorders and headaches.
-
Directory Listing: https://cebudentalimplants.com/map-dental-clinic












