From Pain to Perfect — We Care for Your Smile.
Severe Root Caries Near Gum Line | Dental Case Analysis and Treatment Timeline
Severity:
Teeth Problems:
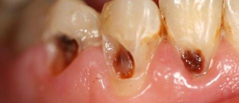
Severe Cervical & Root Caries – Full Clinical Analysis (Zoomed View)
Case Overview (100% Zoom Interpretation)
The image shows advanced dental caries located at the cervical and root surfaces of multiple adjacent teeth, very close to the gum line. There is visible cavitation, darkened dentin, and signs consistent with gingival recession, exposing the root surfaces. This pattern suggests an active, progressing disease process, not a superficial stain.
Important: This is an educational analysis based on the image provided. A definitive diagnosis requires a clinical exam, probing, and dental X-rays.
Primary Diagnosis
-
Advanced Cervical Caries (Root Caries)
-
Decay has extended beyond enamel into dentin and root cementum
-
Root surfaces decay faster due to softer structure
-
-
Gingival Recession
-
Gum tissue has receded, exposing root areas
-
Often associated with periodontal disease, aggressive brushing, or age-related changes
-
-
High Risk of Pulpal Involvement
-
Lesions are deep and close to the pulp
-
Risk of nerve infection if untreated
-
Secondary Contributing Factors
-
Poor plaque control near gum line
-
Acidic diet or frequent sugar intake
-
Dry mouth (xerostomia)
-
Existing periodontal disease
-
Delayed dental visits
What Happens If This Is NOT Treated (Scale-Up Risks)
Within 7–14 Days
-
Increased sensitivity to cold, sweet, and pressure
-
Pain may begin intermittently
-
Bacterial penetration continues deeper
Within 2–4 Weeks
-
Pulp inflammation (reversible → irreversible pulpitis)
-
Gum swelling and bleeding
-
Bad breath and localized infection
1–3 Months
-
Dental abscess formation
-
Severe pain, facial swelling
-
Tooth structure weakens → fracture risk
Long-Term
-
Tooth loss
-
Spread of infection to bone
-
More expensive procedures (root canal, surgery, implants)
Is 14 Days Enough to Heal?
No — caries do not heal on their own.
However, 14 days is critical for:
-
Stopping progression
-
Preventing nerve infection
-
Initiating definitive treatment
Delay beyond this window significantly increases complications.
Recommended Treatment Process (Step-by-Step)
Step 1: Comprehensive Assessment (Day 1–3)
-
Clinical examination
-
Dental X-rays (periapical/bitewing)
-
Periodontal evaluation
Step 2: Initial Disease Control (Day 3–7)
-
Full scaling and root planing
-
Temporary medication if infection is present
-
Oral hygiene instruction
Step 3: Definitive Tooth Treatment (Day 7–14)
Depending on severity:
-
Tooth-colored cervical fillings (for shallow–moderate lesions)
-
Root canal treatment (if nerve is involved)
-
Crown placement (if structure is compromised)
-
Extraction (only if tooth is non-restorable)
Expected Healing Timeline
-
Gum inflammation reduction: 7–10 days
-
Sensitivity improvement: 1–2 weeks
-
Full soft tissue stabilization: 3–4 weeks
-
Long-term success depends on oral hygiene and follow-ups
Professional Comments
-
This case is high-risk and urgent
-
Home remedies will not stop progression
-
Early intervention can save the teeth
-
Delaying care increases pain, cost, and complexity
Strong Recommendation
Please visit the nearest dental clinic immediately for proper evaluation and treatment.
You can find a trusted clinic near your area using our dental directory:
https://cebudentalimplants.com/map-dental-clinic
Early treatment can prevent tooth loss and serious infection.












