Your Smile, Perfected with Precision.
Severe Tartar Buildup and Gum Disease | Advanced Dental Case Analysis and Treatment Guide
Severity:
Teeth Problems:
Advanced Plaque, Tartar, and Multi-Tooth Disease – Full Dental Case Analysis (100% Zoom)
Important Medical Disclaimer
This analysis is educational and image-based only. A definitive diagnosis requires an in-person dental examination, periodontal probing, and dental X-rays. However, the visible findings indicate a high-risk and urgent dental condition.
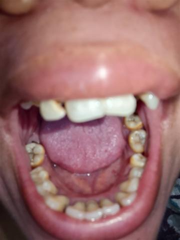
Case Overview (Zoom 100%)
The image shows generalized heavy plaque and tartar (calculus) accumulation, especially on the lower anterior and posterior teeth, with visible gum inflammation, discoloration, and possible active decay. Tooth surfaces appear rough, yellow-brown, and uneven—signs of long-standing poor oral hygiene and bacterial overload.
This is not an early-stage case. The disease has likely been progressing for months or years.
Primary Clinical Findings
-
Severe Dental Calculus (Tartar)
-
Hardened plaque firmly attached to teeth
-
Cannot be removed by brushing alone
-
-
Generalized Gingivitis → Possible Periodontitis
-
Red, swollen gums
-
High likelihood of bleeding on brushing
-
Risk of bone loss
-
-
High Risk of Multiple Dental Caries
-
Plaque-retentive areas trap bacteria
-
Back teeth show discoloration consistent with decay
-
-
Oral Hygiene Breakdown
-
Bacterial biofilm affecting multiple teeth simultaneously
-
Increases risk of systemic infection
-
Likely Symptoms (Common in This Condition)
-
Persistent bad breath (halitosis)
-
Bleeding gums
-
Tooth sensitivity
-
Gum pain or soreness
-
Difficulty chewing
-
Loose teeth (in advanced cases)
Can This Heal in 14 Days?
No — this condition cannot heal on its own.
However, 14 days is a critical intervention window to:
-
Stop further bacterial damage
-
Reduce gum inflammation
-
Prevent tooth loss and infection spread
Without treatment, damage will continue to escalate rapidly.
What Will Scale Up If Untreated
Within 2–4 Weeks
-
Rapid progression of gum infection
-
Deepening periodontal pockets
-
Increased tooth mobility
1–3 Months
-
Bone loss around teeth
-
Tooth loosening or drifting
-
Multiple cavities forming at once
Long-Term
-
Tooth loss
-
Gum recession
-
Need for extractions, dentures, or implants
-
Increased risk of systemic issues (heart disease, diabetes complications)
Recommended Treatment Process (Step-by-Step)
Step 1: Comprehensive Dental Assessment (Day 1–3)
-
Full oral examination
-
Periodontal charting
-
Dental X-rays
-
Treatment planning
Step 2: Deep Cleaning Phase (Day 3–7)
-
Scaling and Root Planing (deep cleaning below gum line)
-
Removal of hardened calculus
-
Possible antibacterial treatment
Step 3: Disease Control & Restoration (Day 7–14)
-
Fillings for active cavities
-
Gum therapy if needed
-
Tooth extraction if a tooth is non-restorable
-
Oral hygiene coaching
Expected Healing Timeline
-
Gum swelling reduction: 7–10 days after deep cleaning
-
Bleeding reduction: 1–2 weeks
-
Bacterial control stabilization: 3–4 weeks
-
Long-term success depends on strict oral hygiene and follow-up visits
Professional Comments
-
This is a severe and urgent dental case
-
Home remedies and brushing alone will not fix this
-
Delay significantly increases cost, pain, and tooth loss risk
-
Early professional intervention can still save many teeth
Strong Recommendation
Please visit the nearest dental clinic immediately for full evaluation and treatment.
You can locate a dental clinic near your area using our directory listing:
https://cebudentalimplants.com/map-dental-clinic
Early action can prevent permanent damage and restore oral health.












