From Pain to Perfect — We Care for Your Smile.
Damaged Amalgam Filling with Secondary Decay Case Analysis
Severity:
Teeth Problems:
Dental Case Analysis: Damaged Amalgam Filling with Possible Secondary Decay
Case Overview
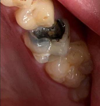
The image shows a posterior molar tooth with an old metallic (amalgam) filling. The restoration appears damaged with visible breakdown at the margins. There are signs suggesting possible secondary decay beneath or around the filling.
Zoom 100% Visual Examination
Observed Findings
-
Large amalgam (silver) filling on molar
-
Marginal gap between filling and natural tooth
-
Dark discoloration around restoration edges
-
Possible enamel fracture near filling
-
Plaque retention around restoration
-
Surrounding gum tissue appears mildly irritated
-
Adjacent teeth appear intact
Diagnosis
Primary Diagnosis
-
Failing amalgam restoration
Secondary Diagnosis
-
Possible secondary caries under filling
-
Risk of structural tooth weakening
Clinical Interpretation
Old amalgam fillings can expand and contract over time.
This may cause:
-
Microleakage
-
Bacterial infiltration
-
Recurrent decay
-
Tooth fracture
Without intervention, the condition may progress internally without immediate pain.
Treatment Objective
-
Remove failing restoration
-
Eliminate secondary decay
-
Restore tooth strength
-
Prevent pulp infection
Treatment Process to Execute
Step-by-Step Plan
-
Clinical examination and bite assessment
-
Dental X-ray to evaluate decay depth
-
Removal of old amalgam filling
-
Caries removal and pulp assessment
-
Treatment options:
-
Composite restoration if structure remains strong
-
Onlay or crown if tooth walls are weakened
-
Root canal treatment if pulp involvement is detected
-
-
Final occlusion adjustment
Healing and Recovery Timeline
First 14 Days
-
Mild sensitivity to temperature (normal)
-
Bite adjustment adaptation
-
Gum tissue begins stabilizing
After 14 Days
-
Normal chewing comfort
-
Reduced bacterial risk
-
Restoration fully integrated
If Treatment Is Delayed
Issues That May Scale Up
-
Deep secondary decay
-
Tooth fracture
-
Severe toothache
-
Pulp infection
-
Dental abscess
-
Need for root canal or extraction
Early replacement prevents major structural damage.
Professional Comments
-
Restoration appears compromised
-
Marginal leakage is likely
-
Early intervention increases tooth survival
-
Regular monitoring of old fillings is essential
Recommendation
Schedule a professional evaluation as soon as possible.
Visit a nearby dental clinic for assessment and restoration planning.
Search your nearest location using our directory:
https://cebudentalimplants.com/map-dental-clinic












