Transforming Smiles, Restoring Confidence.
Gum Inflammation and Gingivitis Case Analysis With Healing Timeline
Severity:
Teeth Problems:
Teeth Case – Full Analysis and Provisional Diagnosis (Zoom 100%)
This assessment is based on a photographic image only. A definitive diagnosis requires an in-person dental examination, periodontal probing, and radiographs when indicated.
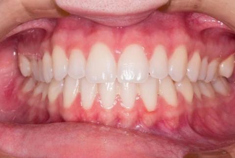
1. Visual Findings (Deep Examination)
-
Teeth alignment and surfaces:
-
Teeth appear generally well-aligned with smooth enamel surfaces.
-
No obvious cavities, fractures, or restorations visible in this image.
-
-
Gingival condition (gums):
-
Generalized redness and inflammation along the gingival margins of both upper and lower teeth.
-
Gum tissue appears swollen in areas, consistent with active gingival inflammation.
-
-
Plaque biofilm indicators:
-
Inflammation pattern suggests plaque accumulation at the gumline, even if teeth appear clean.
-
-
Occlusion:
-
Bite appears relatively even; no obvious traumatic occlusion seen in this image.
-
2. Most Likely Diagnosis (Provisional)
-
Plaque-induced gingivitis
-
Early-stage periodontal inflammation (reversible)
-
Increased risk for periodontitis if untreated
3. Issues That May Scale Up if Untreated
If no intervention occurs within 14–30 days, the following may develop:
-
Progression from gingivitis to early periodontitis
-
Gum bleeding during brushing or eating
-
Gum recession exposing tooth roots
-
Persistent bad breath
-
Formation of periodontal pockets
-
Long-term risk of tooth mobility and bone loss
4. Recommended Treatment Process
Phase 1: Initial Management (Days 1–3)
-
Comprehensive dental examination
-
Periodontal assessment (gum probing)
-
Professional dental cleaning (scaling and polishing)
-
Oral hygiene instruction
Phase 2: Inflammation Control (Days 4–7)
-
Continued plaque control at home
-
Use of dentist-recommended antimicrobial mouth rinse if indicated
-
Reinforcement of proper brushing and flossing technique
Phase 3: Re-evaluation (Days 8–14)
-
Gum redness and swelling should significantly reduce
-
Bleeding should diminish
-
Further periodontal therapy planned only if inflammation persists
Expected healing time:
-
Gingival tissue response typically improves within 7–14 days with proper care.
5. If Healing Takes 14 Days – What May Scale Up
-
Persistent gum inflammation
-
Early attachment loss
-
Increased tooth sensitivity
-
Need for deeper periodontal cleaning
-
Higher long-term maintenance requirements
6. Home Care Recommendations (Interim)
-
Brush twice daily using a soft-bristled toothbrush
-
Clean gently along the gumline
-
Floss or use interdental cleaners daily
-
Avoid smoking and excessive sugar intake
-
Maintain regular hydration
7. Professional Commentary
This case shows healthy teeth with unhealthy gums, a common and reversible condition when treated early. Gingivitis does not cause permanent damage if addressed promptly, but neglect can lead to irreversible periodontal disease.
Visit Nearest Dental Clinic
Find a dental clinic near you for professional cleaning and gum evaluation:
https://cebudentalimplants.com/map-dental-clinic












