Dentures That Feel Natural, Look Beautiful.
7-Day Post-Extraction Check: Deep Socket but No Pain - Normal Healing or Dental Risk?
Severity:
Teeth Problems:
Quick visual impression (100% / zoom)
-
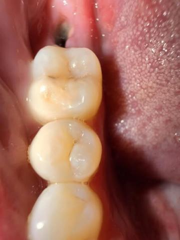
I see a dark, fairly deep socket behind the last visible molar (the extraction site).
-
No obvious pus or large swelling visible in the photo and you report no pain — both reassuring.
-
Surrounding teeth look intact. Photo lighting/angle limits how much I can see (I can’t check bleeding under the gum or feel for mobility).
Bottom line: this looks like a normal 7-day post-extraction socket (deep appearance from the clot/early granulation tissue) rather than an acute complication — but a picture can’t replace a clinical exam.
Typical healing timeline (what to expect)
-
Day 0–3: blood clot forms, initial inflammation and most pain/bleeding occur.
-
Day 3–7: clot matures and is replaced gradually by granulation tissue; pain should be reducing.
-
Day 7–14: socket should start filling in with soft tissue — less depth on inspection and minimal pain.
-
Weeks–months: soft tissue closure completes in a few weeks; bone remodeling continues for many months.
If healing takes 14 days (i.e., still looks deep at day 14)
-
Many sockets still look recessed at 14 days but should feel and look improved with less tenderness.
-
If at 14 days you still have deep crater plus persistent or worsening pain, bad taste/odor, swelling, fever, or pus → see dentist (possible infection or delayed healing).
-
If everything else is fine (no pain, no bad smell, improving appearance) it can still be within normal healing.
Problems that can escalate (what to watch for)
-
Alveolar osteitis (dry socket): severe, radiating pain starting a few days after extraction, bad taste/odor.
-
Infection: increasing pain, swelling, redness, fever, pus, worsening taste/odor.
-
Retained root fragment or bone sequestrum: persistent discomfort or a “sharp” feeling.
-
Nerve symptoms: new numbness or tingling in lip/chin (less common with back molars) — urgent review.
Practical home care / process to execute (what you should do now)
-
Continue gentle oral hygiene: brush other teeth normally; avoid scrubbing the socket.
-
Starting 24 hours after extraction, rinse gently 3–4×/day with warm saline (1/2–1 tsp salt in 240 ml warm water) — especially after meals. Do not rinse forcefully.
-
Avoid smoking, sucking through a straw, vigorous spitting, or hard/chewy foods for at least 7–14 days.
-
Use over-the-counter analgesics as recommended (ibuprofen ± acetaminophen) if needed.
-
If your dentist recommended chlorhexidine rinse or a medicated dressing, follow their instructions.
-
Avoid poking the socket with cotton swabs, toothpicks, or your tongue.
When to see a dentist right away
Go to your dentist or emergency dental clinic if you have any of:
-
New or worsening severe pain (especially if it began 2–4 days after extraction)
-
Heavy or prolonged bleeding
-
Increasing swelling, fever or drainage of pus
-
Persistent bad taste/odor that won’t improve
-
New numbness or altered sensation
What your dentist may do at follow-up
-
Clinical exam and gentle probing/cleansing of the socket.
-
Place a medicated dressing (e.g., eugenol packing) for dry socket relief.
-
Prescribe antibiotics if there is an infection or systemic signs.
-
Remove retained fragments if present.
-
Reassure and follow up until healed.
Final notes / recommendation
Based on the photo and your report of no pain, this looks like normal healing at day 7. Keep the conservative care above and monitor. If anything changes (pain, swelling, fever, foul taste/odor) or you’re unsure, please see a dentist for an in-office check. You can find local clinics using your directory:
https://cebudentalimplants.com/map-dental-clinic












