Your Smile, Our Passion.
Almario Dental -Elevating Smiles at Ayala Malls Central Bloc, Cebu IT Park

Geolocation Clinic:
Telephone / Mobile :
0995 479 7677 / almariodentalph@gmail.com
Located at Level 4, Ayala Malls Central Bloc, Cebu IT Park, Apas, Cebu City, Almario Dental is a modern dental clinic dedicated to enhancing smiles through precise, conservative, and patient-centered dentistry. Known for its aesthetic-driven treatments and minimally invasive techniques, the clinic blends clinical excellence with artistry to deliver natural-looking results.
Almario Dental specializes in advanced cosmetic procedures such as non-invasive direct composite veneers, professional laser teeth whitening, and comprehensive dental care designed to improve both oral health and confidence. Each treatment plan is customized, ensuring patients achieve results that look natural, balanced, and uniquely theirs.
With ongoing smile transformation cases and carefully monitored progress, Almario Dental continues to set a standard for modern cosmetic dentistry in Cebu.
“Your smile, but better.”
Dental Services Offered
-
Comprehensive Dental Consultation and Smile Assessment
-
Non-Invasive Direct Composite Veneers
-
Cosmetic Smile Makeovers
-
Professional Laser Teeth Whitening
-
Preventive Dental Care and Oral Health Maintenance
-
Tooth Restoration and Aesthetic Fillings
-
Personalized Treatment Planning
-
Follow-up and Progress Monitoring for Ongoing Cases
Cebu IT Park
Situated in the heart of Cebu IT Park, this area is widely known as a city that never sleeps. Operating 24/7, IT Park is home to numerous outsourcing companies, BPO offices, and multinational businesses that keep the district active day and night. With round-the-clock work schedules, fast-paced environments, and high-performance demands, professionals in this area experience a uniquely intense lifestyle.
Because of the high-pressure and time-sensitive nature of outsourcing jobs, dental concerns are especially common in this location. Long working hours, irregular sleep patterns, stress, and poor dietary habits often contribute to dental issues such as tooth sensitivity, cavities, gum problems, jaw pain, and teeth grinding.
Access to reliable and professional dental care within Cebu IT Park is therefore in high demand. Clinics in this area play a vital role in supporting the oral health of working professionals by offering convenient, efficient, and preventive dental solutions that fit their busy schedules. Regular dental check-ups help ensure that oral health is not compromised despite the demanding lifestyle.
Short Story
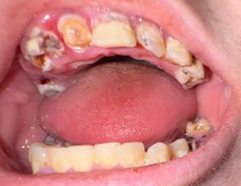
After years of hiding her smile, a patient began her journey with Almario Dental through a 10-unit non-invasive direct composite veneer treatment. Carefully designed in a natural shade, her smile transformation progressed steadily over four months. Each visit brought subtle yet powerful improvements. Today, her ongoing case reflects not just improved teeth, but renewed self-confidence—proving that small, precise changes can create life-changing results.
Expert Advice
Cosmetic dental treatments do not always require aggressive procedures. Non-invasive options like direct composite veneers preserve natural tooth structure while delivering beautiful, functional results. Regular consultations and professional guidance ensure that smile enhancements remain healthy, sustainable, and long-lasting.
Patient Reviews
“The results look incredibly natural. I love how detailed and gentle the process was.”
“Professional, friendly, and very thorough. The clinic truly cares about aesthetics and oral health.”
“Highly recommended for anyone looking to improve their smile without invasive procedures.”
Clinic Information
Almario Dental
Level 4, Ayala Malls Central Bloc
Cebu IT Park, Apas, Cebu City, Philippines
Phone: +63 995 479 7677
Email: almariodentalph@gmail.com
Facebook: Almario Dental
Instagram: @almariodental
Come visit our clinic and give yourself the gift of a brighter, more confident smile this holiday season.
Book your consultation today and start your personalized smile journey with Almario Dental.
Reviews:
Contact us for further website development and optimization: Register your domain name











