From Pain to Perfect — We Care for Your Smile.
Severe Gumline Cavity and Tooth Discoloration Concern , Severe, Gumline, Cavity, Decay, Tooth, Discoloration, Yellowing, Exposed, Dentin, Treatment, Root, Canal, Crown, Dental, Emergency, Immediate, Appointment, Cebu, Philippines, General, Dentist
Severity:
Teeth Problems:
Immediate and Essential Disclaimer
You need to see a dentist as soon as possible. Only a dentist can properly diagnose the condition of your tooth, determine the extent of the damage, and recommend the correct treatment. Delaying professional treatment can lead to pain, infection, and potential tooth loss.
Preliminary Observation and Analysis
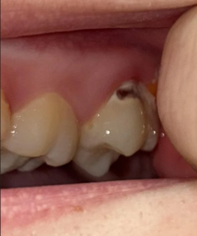
| Feature | Observation from Image | Potential Dental Issue |
| Dark Spot | A significant, dark, black/brown area is visible on the upper/side of the tooth near the gum line. | Severe Dental Caries (Cavity): This indicates tooth decay, likely into the dentin, possibly approaching the pulp (nerve). |
| Yellowing | The surrounding tooth structure appears generally yellow/darker than the adjacent tooth. | Extrinsic Staining, Worn Enamel, or Exposed Dentin: While yellowing can be normal, if it is suddenly changing, it could mean the outer white enamel is thinning or has been removed by decay, exposing the naturally yellower dentin. |
| Gum Tissue | The gum tissue around the affected tooth appears slightly red/inflamed. | Gingivitis or Gum Irritation: Likely due to the proximity of the decay/plaque and/or poor brushing technique in the area. |
| Client's Comment | "Teeth is becoming yellow every time i brush it." | This is not typical for regular brushing. It suggests you may be removing plaque from a yellow tooth, or the decay/staining is so prominent that the yellow/brown color is very noticeable after cleaning the surface plaque. |
Diagnosis, Treatment Process, and Time Frame
| Category | AI's Non-Medical Assessment (Not a Diagnosis) |
| Full Analysis & Diagnosis | Severe Dental Caries (Cavity), likely requiring immediate professional intervention. The decay appears deep and may extend to the pulp. The yellowing is likely secondary to this decay or exposed dentin. |
| Process to Execute | 1. Professional Examination: X-rays and visual inspection by a dentist. 2. Treatment: Likely a large filling, a dental crown, or if the nerve is affected, a root canal treatment followed by a crown. 3. Hygiene Review: The dentist will advise on proper brushing technique (non-abrasive, gentle strokes) and products. |
| Time Frame to "Heal" | 0 days for self-healing. This condition requires a professional procedure. The procedure itself might take 1-2 hours for a filling or root canal/prep, and then 1-2 weeks for a crown to be made and seated. |
| If it Takes 14 Days | What will be the issue that will scale up? Within 14 days, the decay will continue to advance, potentially reaching the tooth's pulp (nerve). This would lead to severe pain, infection (abscess), swelling, and could necessitate a more complex, painful, and costly root canal or even tooth extraction. |
Comments and Recommended Next Steps
-
Change in Color: The yellowing you are noticing is less concerning than the dark, black/brown spot near the gum line, which is a sign of serious decay.
-
Brushing: Ensure you are using a soft-bristled toothbrush and not scrubbing aggressively, as this can wear away the remaining enamel (abrasion), exposing more of the yellow dentin.
Visit Nearest Location Area
You mentioned a directory listing. Please use the following link to find the nearest dental clinic and book an appointment immediately:












