Your Smile, Our Passion.
Severe Rooted Tooth Decay and Infection Treatment
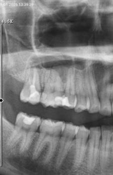
Severity:
This case shows severe tooth decay affecting the back teeth, with decay extending close to or into the tooth roots. Dark, broken tooth structure is visible, which indicates long-standing dental caries. The surrounding gum tissue appears irritated, increasing the risk of infection.
Rooted tooth decay usually develops when cavities are left untreated for a long time. Bacteria spread deeper into the tooth and reach the root area, making the tooth weak, painful, and difficult to save.
If untreated, this condition can lead to severe toothache, gum infection, abscess formation, facial swelling, bad breath, and eventual tooth loss. Infection may also spread to nearby teeth or the jawbone.
Treatment starts with a dental examination and X-ray to assess the depth of decay. If the tooth structure is too damaged, tooth extraction is often required. In some cases, root canal treatment may be possible, followed by restoration. Infection control is the priority to prevent further complications.
Healing time depends on the treatment. After extraction or infection control, gum healing usually takes 7 to 14 days. Pain and swelling should gradually improve during this period.
If treatment is delayed beyond 14 days, the infection may worsen, leading to abscess growth, bone infection, fever, and higher treatment costs. Dental infections should never be ignored.
While waiting for dental care, rinse with warm salt water, brush gently, avoid sugary foods, and avoid chewing on the affected side. These steps help reduce discomfort but do not stop the infection.
Early dental treatment prevents serious infection, protects oral health, and reduces long-term risks.
Find a nearby dental clinic using our directory:
https://cebudentalimplants.com/map-dental-clinic












