From Pain to Perfect — We Care for Your Smile.
Severe Bruxism Treatment in the Philippines: How Teeth Grinding Damages Fillings and What You Can Do to Heal Fast
Severity:
Persistent Amalgam Fillings Despite Severe Bruxism: A Case Analysis
Full Analysis and Diagnosis (Zoom 100%)
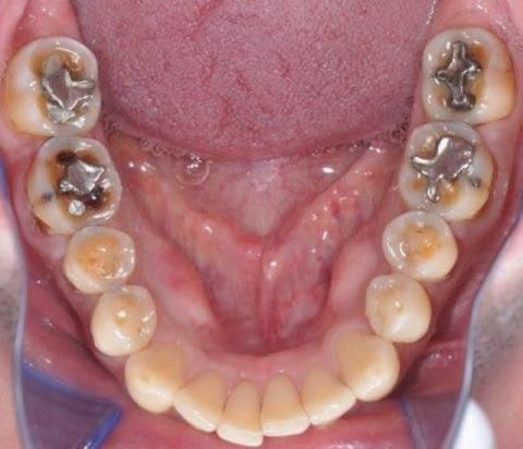
Upon close examination of the lower arch, multiple amalgam restorations are evident, particularly on the molars and premolars. Despite long-term exposure to severe bruxism (teeth grinding), these amalgam fillings remain intact — a testament to their durability. However, adjacent enamel wear, minor fractures, and surface abrasions indicate progressive occlusal stress and potential loss of tooth structure over time.
Deep Examination:
-
Main Observation:
-
Heavy wear on occlusal surfaces (molars and premolars).
-
Amalgam restorations still functional but surrounded by enamel microcracks.
-
Signs of enamel thinning, flattening, and dentin exposure due to chronic grinding.
-
-
Possible Symptoms:
-
Jaw pain, tightness, or morning headaches.
-
Sensitivity to cold or heat.
-
Uneven bite or slight shifting of teeth.
-
Diagnosis:
-
Chronic Bruxism (Severe Grinding)
-
Occlusal trauma with secondary enamel wear
-
Functional amalgam fillings but possible microleakage risks
-
Potential gum recession due to constant pressure
Process to Execute:
-
Occlusal Evaluation & Night Guard Fabrication – Protect teeth from further grinding damage.
-
Restoration Review – Assess all existing amalgam fillings for marginal breakdown or cracks.
-
Composite or Ceramic Overlay (if needed) – Strengthen weakened cusps or restore lost enamel.
-
Muscle Relaxation Therapy – If jaw tension persists, consider physiologic therapy.
Time Frame to Heal:
-
Initial pain or sensitivity relief: 7–14 days with proper protection and rest.
-
Full recovery and adjustment: 3–4 weeks (with night guard and occlusal balancing).
What Will Scale Up if Ignored:
-
Continuous tooth wear leading to shorter teeth.
-
Cracked or fractured restorations.
-
TMJ (temporomandibular joint) disorder.
-
Chronic jaw pain and bite misalignment.
Comments:
Although the amalgam fillings have lasted remarkably well, bruxism must be managed immediately to prevent irreversible damage to both natural and restored teeth. Continuous grinding will eventually compromise the tooth structure and may require full-mouth rehabilitation.
Visit Nearest Location Area:
To receive professional evaluation and night guard fitting, search the nearest dental clinic using our directory:
https://cebudentalimplants.com/map-dental-clinic












