From Pain to Perfect — We Care for Your Smile.
Posterior Tooth Extraction Socket With Inflammation | Dental Case Study
Severity:
Teeth Problems:
Dental Case Analysis: Posterior Tooth Socket With Inflammation
Case Overview
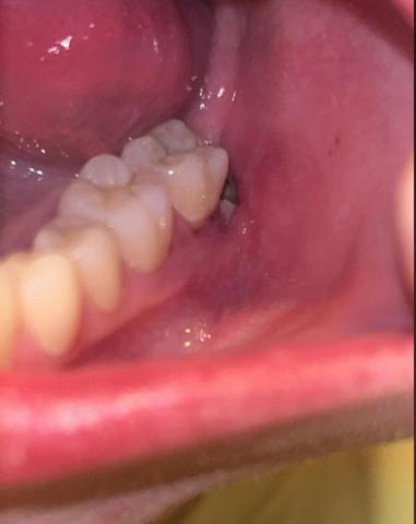
The image shows a posterior lower molar area with an open extraction socket behind the last visible tooth. Surrounding gum tissue appears reddish and inflamed, with possible food debris or clot disruption. This presentation is commonly associated with delayed healing or early dry socket risk.
Clinical Findings (Zoom 100% Analysis)
Tooth & Socket Area
-
Missing posterior molar (recent extraction site)
-
Socket appears partially open
-
Possible loss or thinning of blood clot
-
Mild grayish area inside socket (possible debris or exposed bone)
Gum & Soft Tissue
-
Redness around socket margins
-
Mild swelling of surrounding gingiva
-
No visible pus, but inflammation is present
Adjacent Teeth
-
Neighboring molar appears intact
-
No obvious caries on adjacent tooth
-
Gingival margin near adjacent tooth slightly irritated
Primary Diagnosis
Delayed post-extraction healing with risk of dry socket (alveolar osteitis)
Secondary Considerations
-
Food impaction in extraction site
-
Inadequate oral irrigation
-
Smoking, alcohol, or early chewing (if applicable)
-
Poor clot stability
Recommended Treatment Process
Day 1–3
-
Gentle saline or prescribed mouth rinse
-
Avoid aggressive rinsing
-
Pain management if needed
Day 4–7
-
Professional socket irrigation
-
Removal of debris if present
-
Application of medicated dressing (if dry socket confirmed)
Day 8–14
-
Tissue granulation should visibly improve
-
Gum edges begin closing socket
-
Pain should significantly reduce
Expected Healing Time Frame
-
Normal healing: 7–10 days
-
If dry socket develops: 10–14 days with treatment
-
Complete bone healing: 6–8 weeks
If Healing Is Delayed Beyond 14 Days
Possible Issues That May Scale Up
-
Persistent dry socket
-
Secondary infection
-
Bone exposure and prolonged pain
-
Need for antibiotics or repeated dressing
-
Delay in future dental implant placement
Patient Instructions
-
Avoid smoking and alcohol
-
Do not use straws
-
Rinse gently after meals
-
Keep food from entering the socket
-
Return immediately if pain worsens after day 3
Professional Comment
Early intervention significantly reduces complications. A simple clinical cleaning and medicated dressing can prevent prolonged pain and infection.
Visit Nearest Dental Clinic
Find a licensed dental clinic near you using our directory:
https://cebudentalimplants.com/map-dental-clinic












