Broken and Rotting Wisdom Tooth With Severe Molar Loss
Broken and Rotting Wisdom Tooth With Severe Molar Loss Case Analysis
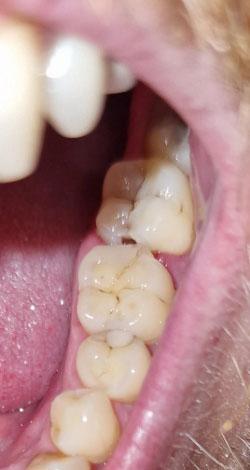
What Is Seen in This Case
The images show advanced damage to the back teeth, including:
-
A wisdom tooth that has completely broken down
-
A nearby molar that is more than 90% missing
-
Visible rotting tooth structure
-
History of repeated tooth breakage over the past few months
















