Your Smile, Our Passion.
Severe Broken and Infected Teeth Case Analysis With Low-Cost Treatment Options
Severity:
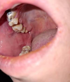
Teeth Case – Full Analysis and Provisional Diagnosis (Zoom 100%)
Medical disclaimer:
This assessment is based on a single image and patient statement. A confirmed diagnosis requires an in-person dental examination, radiographs, and professional evaluation. Dental infections can become serious and should not be ignored.
1. Visual Findings (Deep Examination)
-
Severely broken teeth:
-
One or more teeth appear fractured down to the root level.
-
Loss of crown structure with dark, necrotic tissue visible.
-
-
Advanced decay:
-
Extensive caries involving dentin and likely the pulp.
-
Appearance consistent with root caries and long-standing infection.
-
-
Soft tissue condition:
-
Surrounding gums appear inflamed.
-
Possible presence of chronic dental infection or abscess tract.
-
-
Overall condition:
-
Indicates multiple untreated dental problems, likely progressive over months or years.
-
2. Most Likely Diagnosis
-
Advanced dental caries
-
Root caries with crown fracture
-
Chronic pulp infection (likely non-vital teeth)
-
Possible dental abscess
-
High risk for spreading oral infection
3. Client Statement Consideration (Cannot Afford Dentist)
This is a common and valid concern. However, untreated dental infections can become life-threatening if they spread. There are lower-cost and staged treatment options that can reduce risk and pain even with limited funds.
4. What Will Scale Up if Untreated (14–30 Days)
If no intervention occurs, the following may worsen:
-
Increasing tooth pain or constant throbbing
-
Facial or jaw swelling
-
Formation or enlargement of dental abscess
-
Fever, fatigue, difficulty opening mouth
-
Spread of infection to jawbone (osteomyelitis)
-
Systemic infection risk (medical emergency)
-
Eventual complete tooth loss
5. Recommended Treatment Process (Cost-Aware, Step-by-Step)
Phase 1: Infection Control (Days 1–3)
-
Clinical examination and basic X-ray
-
Drainage of abscess if present
-
Prescription antibiotics (only if clinically indicated)
-
Pain management guidance
Goal: Stop active infection first (lowest immediate cost)
Phase 2: Stabilization (Days 4–7)
-
Extraction of non-restorable broken teeth (often cheaper than root canal)
-
Temporary fillings if any tooth can still be saved
-
Antibacterial mouth rinse recommendation
Phase 3: Healing and Planning (Days 8–14)
-
Gum and socket healing
-
Evaluation for:
-
Additional extractions if needed
-
Future low-cost replacement options (when affordable)
-
Estimated healing time:
-
Infection reduction: 3–7 days
-
Soft tissue healing after extraction: 7–14 days
6. If Treatment Takes 14 Days – Warning Signs
Seek immediate care if any of the following appear:
-
Rapid facial swelling
-
Fever or chills
-
Severe pain not relieved by medication
-
Difficulty swallowing or breathing
-
Pus discharge with foul taste
These are medical emergencies, not just dental problems.
7. Interim Home Care (Not a Cure)
These steps do not fix the problem but may reduce risk temporarily:
-
Rinse gently with warm salt water 2–3 times daily
-
Keep area as clean as possible
-
Avoid chewing on the affected side
-
Avoid smoking, alcohol, and sugary foods
-
Do not attempt to pull or break teeth yourself
8. Professional Commentary
This case represents advanced-stage dental disease. While financial limitations are real, delaying treatment increases cost and health risk over time. Many clinics offer basic extractions, public dental services, or staged care plans that prioritize infection control first.
Visit Nearest Dental Clinic
Find nearby dental clinics and lower-cost options using our directory:
https://cebudentalimplants.com/map-dental-clinic












