We Bring Back the Sparkle in Your Smile.
6 common list of dental problems that individuals between the ages of 40 to 50 years

Topics:
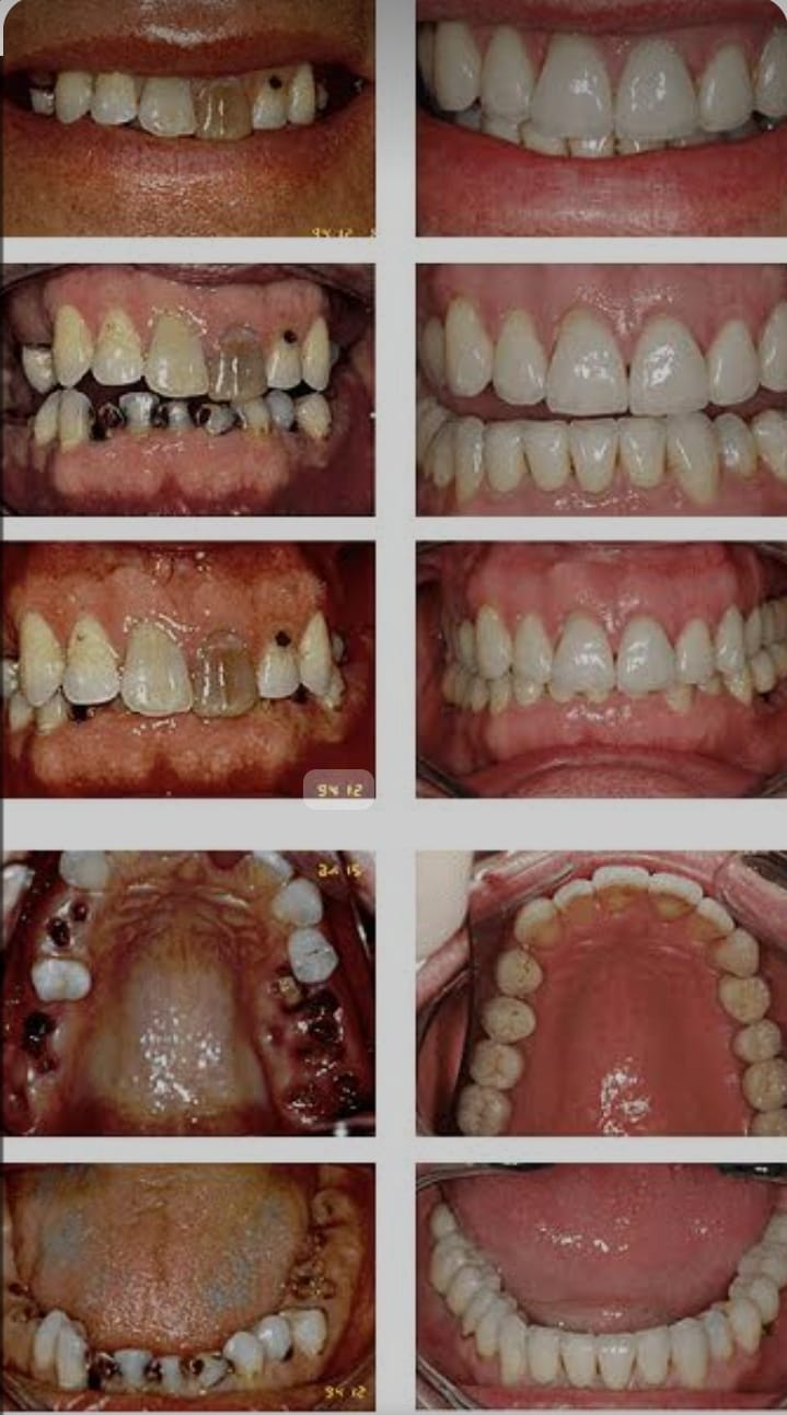
Here is a list of common dental problems that individuals between the ages of 40 to 50 may experience:
-
Gum disease (Periodontal disease): As individuals age, they may be at a higher risk of developing gum disease. This condition can cause inflammation, bleeding gums, bad breath, and even tooth loss if left untreated.
-
Tooth decay: Cavities can still occur in adults, especially if there are areas of the teeth that are not properly cleaned or if there is a high intake of sugary foods and beverages.
-
Tooth sensitivity: Many individuals in their 40s and 50s may experience increased tooth sensitivity. This can be due to worn enamel, receding gums, or exposed tooth roots.
-
Tooth loss: Missing teeth can become more common as individuals age, whether it's due to gum disease, tooth decay, or other dental issues. This can impact the function and appearance of the smile.
-
Dry mouth (Xerostomia): Some medications or medical conditions can contribute to dry mouth, which can increase the risk of tooth decay and gum disease.
-
Tooth wear: Over time, the teeth may show signs of wear and tear, such as erosion of the tooth enamel or grinding/clenching habits (bruxism).
-
Oral health complications related to systemic conditions: Individuals in this age group may have a higher prevalence of systemic conditions like diabetes or heart disease, which can impact oral health and contribute to gum disease or other dental problems.
-
Discoloration and staining: Teeth can become discolored and stained over time due to factors like food and beverage consumption, smoking, or certain medications.
It's important to note that maintaining good oral hygiene practices, regular dental check-ups, and a healthy lifestyle can help prevent or address these dental problems. Consulting with a dentist is always recommended for personalized advice and treatment options.











