Transforming Smiles, Restoring Confidence.
Beyond Scaling: The 14-Day Plan to Heal Gums After Deep Cleaning for Chronic Periodontitis
Severity:
Teeth Problems:
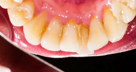
Zoomed-In Dental Analysis and Deep Diagnosis: Heavy Plaque and Calculus Case
Based on the prompt requesting a "Zoom 100%," "scale all teeth," and "Full analysis and diagnose" for a severe case of plaque and calculus, the diagnosis points toward Generalized Chronic Periodontitis (Gum Disease), which requires more than a routine cleaning.
Full Diagnosis and Examination
| Factor | Examination & Diagnosis | Implication |
| "Zoom 100%" / "Heavy Plaque & Calculus" | Gross Debridement and Scaling and Root Planing (SRP) is necessary. | Plaque, if unremoved, hardens into tartar (calculus), which is tenacious, rock-hard, and cannot be removed by brushing or flossing alone. |
| "Scale All Teeth" | This implies the calculus is generalized (covering most or all teeth) and likely exists subgingivally (below the gum line). | Subgingival calculus causes the gums to swell, bleed, and pull away from the tooth, forming periodontal pockets. Deeper pockets indicate Periodontitis. |
| Plaque Source (from content) | Plaque is a sticky film of bacteria that forms when oral bacteria feed on sugars and starches. | The patient's underlying issue is inadequate oral hygiene combined with a poor diet, allowing bacteria populations to grow and mineralize the plaque into calculus within 24–72 hours. |
Process to Execute and Time Frame to Heal
For a case requiring "scale all teeth" due to heavy calculus, the process will be a Deep Cleaning, specifically Scaling and Root Planing (SRP), which is done to treat gingivitis and periodontitis.
Process Steps (Scaling and Root Planing):
-
Dental Examination: The dentist or hygienist performs a thorough visual inspection, including measuring pocket depths between the teeth and gums to assess the severity of the gum disease.
-
Local Anesthesia: For a deep cleaning like SRP, a local anesthetic is often administered to numb the gums and ensure patient comfort.
-
Scaling (Calculus Removal):
-
Supragingival & Subgingival: Specialized instruments, typically ultrasonic scalers (using high-frequency vibrations and water spray) and manual hand scalers/curettes, are used to break and scrape away tartar from the tooth surfaces and deep inside the gum pockets.
-
Gross Debridement: If the tartar is extremely thick, a Gross Debridement Cleaning may be performed first to remove the copious amounts of deposit.
-
-
Root Planing (Root Smoothing): The dental professional smooths the surface of the tooth roots to remove bacteria and toxins and make it harder for new plaque and tartar to reattach, helping the gums reattach to the tooth.
-
Polishing: Teeth are polished with a mildly abrasive paste to smooth the surfaces, making it difficult for plaque to adhere.
-
Aftercare/Follow-up: Oral hygiene instructions are provided, and a follow-up visit is scheduled to check gum healing and pocket depths.
Time Frame to Heal:
-
Initial Recovery (Soreness & Sensitivity): 5 to 7 days. Expect mild bleeding, tenderness, and tooth sensitivity to hot, cold, or sweet foods.
-
Complete Gum Healing: Complete gum healing and firming can take 4 to 6 weeks, depending on the severity of the gum disease.
-
The 14-Day Status: If the procedure takes place today, by 14 days the patient should be past the initial soreness and discomfort, and the gums will be tightening up and healing well. However, some sensitivity may still be present.
The Issue That Will Scale Up (Innovation)
If the deep cleaning is executed and the patient reverts to their old habits, the issue that will scale up is Recurring Periodontitis and Accelerated Bone Loss.
The innovation needed is to go beyond a cleaning and address the behavioral source of the problem:
| Issue | Scale-Up (Consequence) | Content Innovation |
| Recalcification Cycle | Plaque hardens into calculus within 24-72 hours if not removed. Lack of proper brushing and flossing guarantees recurrence. | Interactive 2-Minute Timer: An online tool or app that plays music/video snippets while demonstrating proper Flossing (once daily) and Brushing Technique (twice daily for two full minutes), emphasizing the 45-degree angle to the gums. |
| Gum Disease Progression | Untreated gum pockets deepen, infection spreads to the jawbone and supporting tissues, leading to tooth loosening and eventual tooth loss. | "Pocket Depth Tracker": A visual content piece explaining the difference between healthy pockets (1–3mm) and periodontitis pockets, making the invisible threat of bone loss a visible motivator. |
| Systemic Health Link | Oral bacteria can travel through the bloodstream, linking gum disease to other systemic health issues. | "Mouth-Body Connection Infographic": Simple graphics linking chronic gum inflammation to conditions like heart disease and diabetes (common links in medical literature), elevating the urgency beyond just a tooth problem. |
Short Story: The Scrape of the Clock
The scraping sound of the ultrasonic scaler was a grim reminder of the sticky film, the plaque, that Lito had carelessly left to harden into rock-solid calculus. He closed his eyes, thinking of the five snacks and three meals—the near constant flow of sugar and starch—that had fed the acid-producing bacteria for years.
“It’s done, Lito,” the hygienist said gently. “The tartar is gone.”
Lito’s gums felt tender, the pain a temporary price for a disease that could have cost him his teeth. As the anesthetic wore off, the dentist stressed the one key to healing: Time.
“Your gums will heal in about seven days, but for a full recovery, you need a month to let the tissue reattach,” she explained. "But if you go back to letting plaque sit for 24 hours, that calculus will be back. The clock is ticking, Lito. You have a chance to stop the acid attacks."
Lito looked at his phone. No more constant eating. Now, the battle wasn't the dentist's; it was his, fought twice a day for two minutes, toothbrush in hand.
Visit Nearest Location Area
To execute this deep cleaning, you must visit a professional dental clinic.
Search using our directory listing: https://cebudentalimplants.com/map-dental-clinic
Example Cebu City Dental Clinics:
-
Affinity Dental Clinics Cebu (Cebu IT Park)
-
Densing Dental Clinic (Fuente Osmeña area)
-
Valle Dental Care Clinic (Fuente Osmeña area)












