Your Smile, Perfected with Precision.
Finding a Dental Clinic for Examination of Dark Tooth Spots
Severity:
Teeth Problems:
Initial Image Analysis
-
Image Observations: The picture shows the front teeth with small, dark, punctate (dot-like) spots or specks, primarily located close to the gum line (gingival margin). The spots are circled in red for emphasis. The surrounding gum tissue (gingiva) appears generally pink and healthy in the visible area.
-
Client Statement: "Had it some days now. Can't remove with brush."
Full Analysis and Potential Diagnosis
The dark spots you are describing and that are visible in the image could be one of several things. Since you cannot remove them with a brush, they are likely not simple surface stains.
| Potential Cause | Deep Examination | Scaling/Issue Escalation |
| 1. Enamel Hypoplasia (Arrested Defect) | These are localized defects in the formation of the enamel, often appearing as small pits or grooves that can accumulate dark stains over time. They are developmental and not actively spreading. | Low Risk. Primarily an aesthetic issue. Could become a focus for decay if the pits are deep and not properly sealed/cleaned. |
| 2. Non-Carious/Early Carious Lesions (Early Decay) | Small areas of demineralization or early decay that have arrested (stopped progressing) and picked up dark stains from food/drink. They may be small cavities (caries) that have not progressed deeply yet. | Moderate Risk. If the area is active decay, it will progress deeper into the dentin, causing sensitivity and eventually a large cavity or pulp infection. |
| 3. Extrinsic Staining (Tetracycline, Fluorosis, Iron) | Certain medications (like Tetracycline taken during development), excessive fluoride intake (Fluorosis), or supplements (iron) can cause intrinsic or heavily embedded extrinsic stains that are dark and hard to remove. | Low Risk. Primarily aesthetic. Does not directly threaten the tooth's structure, but diagnosis is important. |
| 4. Dental Calculus/Tartar | Hardened plaque that has calcified and stained darkly. Usually bulkier, but small, stained deposits near the gum line are common. | Moderate Risk. Calculus cannot be brushed off. It harbors bacteria, leading to gingivitis (gum inflammation) and eventually periodontitis (bone loss). |
Time Frame to Heal
-
If it's true stain or hypoplasia: There is no "healing" as they are structural/stain issues. They require professional removal or restoration.
-
If it's early active decay: It will not heal on its own. It will progress, and the time frame for progression (scaling up) varies greatly, from months to years, but it's a certainty without intervention.
Process to Execute (By a Dentist)
-
Clinical/Visual Exam: The dentist will use a dental explorer and magnification to determine if the spots are soft (active decay) or hard (stain/arrested decay/hypoplasia).
-
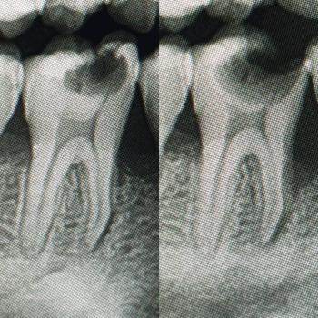
Radiographs (X-rays): They may take small periapical or bitewing X-rays to check if there is any underlying decay (radiolucency) beneath the spots, especially between the teeth.
-
Treatment Options:
-
If Stain/Hypoplasia: Professional cleaning/scaling, microabrasion, or composite bonding (a small, tooth-colored filling) for aesthetic masking.
-
If Early Decay (Caries): Minimal intervention/remineralization therapy (high-fluoride varnish) or a small, conservative composite filling.
-
If Calculus: Professional scaling and root planing (deep cleaning).
-
What Will Be the Issue That Will Scale Up?
The most significant risk that "will scale up" is active dental caries (decay).
-
Progression: The decay will move from the outer enamel into the softer dentin.
-
Symptoms: This causes increased sensitivity to hot, cold, or sweets.
-
Complication: If the decay reaches the pulp (nerve), it will result in severe pain, require a Root Canal Treatment, or potentially an Extraction. This progression can take 14 days or less if the spots are already deep. Therefore, immediate professional assessment is critical.
Next Steps and Recommended Action
The condition requires a professional examination, which may involve scaling, X-rays, and possibly restorative treatment (filling).












