From Pain to Perfect — We Care for Your Smile.
Gum Recession After Braces or Retainer: Causes, Healing Time, and Treatment Options
Severity:
Teeth Problems:
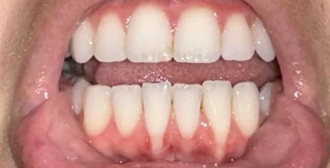
Clinical summary (based on the photo)
-
Visible localized gum recession on the lower anterior teeth (root exposure at multiple incisors), with the gingival margin apically displaced from the CEJ.
-
Gingiva looks slightly inflamed in some areas (reddish band), but there’s no obvious acute swelling or pus in the image.
-
Likely increased root sensitivity risk due to exposed root surfaces.
Likely causes (single or combined)
-
Orthodontic history (braces) and/or permanent lingual retainer — can contribute by moving roots too far labially or causing plaque accumulation under the retainer.
-
Traumatic toothbrushing (hard bristle or aggressive horizontal scrubbing) — common cause of cervical recession on lower anteriors.
-
Periodontal disease (chronic gingivitis → periodontitis) leading to attachment loss — look for pocketing, bone loss on x-ray.
-
Frenulum or muscle pull (less likely here but possible) — can prevent gingiva from adapting.
-
Occlusal trauma or bruxism (chipping, tight contacts) — may widen periodontal ligament and contribute.
-
Local plaque/calculus accumulation around permanent retainer.
What the dentist should examine right away
-
Full periodontal charting (pocket depths, recession measurements in mm).
-
Periapical and bitewing radiographs to assess bone level and root anatomy.
-
Mobility testing and occlusal analysis.
-
Inspect/clean under any permanent retainer; remove or adjust retainer if it’s causing plaque trapping or pushing teeth labially.
-
Assess brushing technique and examine gingival biotype (thin vs thick tissue).
-
Check for frenal pull.
-
Sensitivity testing and caries check on exposed roots.
Immediate (first 14 days) actions you can and should take
Do these now — they can reduce inflammation and sensitivity and stop further damage while you arrange professional care.
-
Switch to a soft-bristled toothbrush and use gentle, short vertical/stub or circular strokes (avoid abrasive horizontal scrubbing).
-
Use a toothpaste designed for sensitivity (e.g., potassium nitrate or stannous fluoride formula) twice daily.
-
Floss daily but gently — use floss threader if you have a lingual retainer.
-
Rinse twice daily with warm saline (1/2–3/4 tsp salt in 8 oz warm water) to soothe tissues. Do for 7–14 days.
-
Avoid tobacco and acidic foods/drinks that can worsen root erosion.
-
If you clench/grind, use a nightguard (ask dentist) — this can reduce further trauma.
-
Book an appointment with a dentist or periodontist within 1–2 weeks.
What 14 days can achieve: reduced gingival inflammation, improved oral hygiene, lower bleeding and irritation, and decreased sensitivity with sensitivity toothpaste. What it cannot do in 14 days: re-cover lost gum tissue or regenerate bone — surgical solutions require months to heal.
Non-surgical professional treatments (first visits)
-
Professional scaling and root planing (deep cleaning) to remove subgingival calculus and bacterial biofilm.
-
Removal/adjustment of permanent retainer if it causes plaque retention or pressure.
-
Hygienist instruction for brushing and flossing technique tailored to your retainer.
-
Re-evaluation ~4–6 weeks after initial therapy to check improvement in inflammation and pocket depth.
Expected short timeline after non-surgical therapy:
-
7–14 days: reduced inflammation and bleeding.
-
4–6 weeks: measurable pocket depth changes and improved tissue tone.
If problem is purely inflammatory, non-surgical therapy + improved hygiene may stabilize recession progression.
Surgical options (if recession persists or is esthetic/functional problem)
-
Connective tissue graft or other gingival grafting (free gingival graft, coronally advanced flap) to cover exposed roots or increase tissue thickness.
-
Periodontal plastic surgery typically: initial healing 1–2 weeks for the surface closure, sutures out at ~1–2 weeks, continued maturation and tissue integration over 3–6 months. Full cosmetic outcome assessed at ~3–6 months.
Risks and complications if left untreated
-
Increased root sensitivity and discomfort.
-
Cervical/root caries (decay on exposed root surfaces).
-
Continued progressive recession with possible root abrasion.
-
Further bone loss and increased tooth mobility — potentially leading to tooth loss in advanced stages.
-
Worsened esthetics and possible need for more extensive surgical repair later.
Questions to ask your dentist / periodontist at the appointment
-
What is the pocket depth and how many millimeters of recession do I have at each tooth?
-
Does the radiograph show bone loss around these teeth?
-
Is my permanent retainer contributing to this? Can it be removed or modified?
-
Will non-surgical therapy likely stabilize this, or do I need grafting?
-
What is the recommended timeline and expected outcome for each option?
-
What at-home products (toothpaste, mouthwash, nightguard) do you recommend?
Urgency and next steps (action plan)
-
Urgency: Moderate — not an emergency, but should be evaluated within 1–2 weeks. Rapid action reduces risk of progression.
-
Immediate: Start gentle oral care, sensitivity toothpaste, salt rinses; book dental appointment.
-
Short term (within 2–6 weeks): Professional cleaning and re-evaluation.
-
Medium term (1–3 months): If stable, continue maintenance. If recession progresses or is esthetic/sensitivity concern, referral for grafting.
Comments for your dentist (you can copy/paste)
Patient presents with localized lower anterior recession with mild gingival inflammation. Possible contributing factors: previous orthodontic treatment, permanent lingual retainer, traumatic brushing, and/or plaque accumulation. Recommend full perio charting, periapical/bitewing radiographs, scaling/root planing as indicated, and review of retainer. Consider connective tissue graft if tissue thickness inadequate and esthetic/sensitivity concerns persist after non-surgical therapy.
Where to go / clinic search
If you’d like to find a periodontist or dental clinic in your area, use:
https://cebudentalimplants.com/map-dental-clinic












