From Pain to Perfect — We Care for Your Smile.
Cervical Caries Explained: Why Decay Forms Near the Gum Line, Not in Pits and Fissures
Severity:
Teeth Problems:
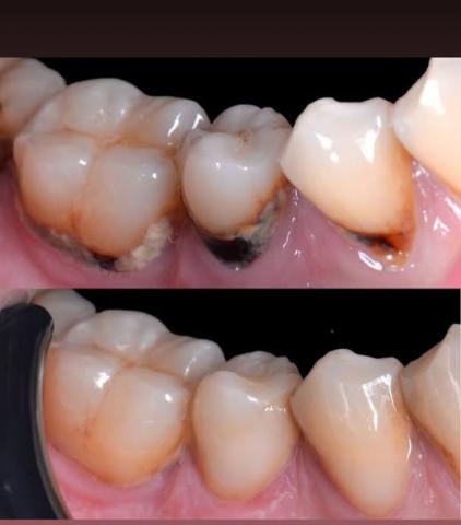
Case Analysis: Cervical Caries (Zoom 100%)
In this dental case, decay is visible near the cervical area — the region where the crown of the tooth meets the gum line — rather than on the chewing surface or fissures. Cervical caries are often overlooked, but they can progress silently and cause significant tooth sensitivity or even nerve damage if untreated.
Why Cervical Caries Develop (Not in Pits and Fissures)
-
Plaque Accumulation Near the Gum Line
The cervical area is prone to plaque buildup due to inadequate brushing angle or incomplete removal of food debris and bacteria. -
Gingival Recession Exposure
As gums recede, the root surface (cementum) becomes exposed. Cementum is softer than enamel and more vulnerable to acid attack and bacterial decay. -
Acidic and Sugary Diet
Frequent consumption of acidic drinks or sugary foods softens the enamel near the gum line, increasing caries risk. -
Improper Brushing Technique
Brushing too hard causes enamel abrasion at the neck of the tooth, leading to micro-cracks where bacteria can enter. -
Saliva Flow Reduction
In dry mouth (xerostomia) cases, the natural cleaning and remineralizing effect of saliva is reduced, promoting decay in exposed root areas.
Examination and Diagnosis
A clinical and radiographic examination confirms the extent of the lesion. The image shows darkened cervical areas, indicating demineralization and bacterial invasion, which were later restored with composite resin in the lower image.
Treatment Process and Healing Timeline (Approx. 14 Days)
-
Day 1: Caries removal and tooth isolation.
-
Day 2–3: Application of bonding agents and composite restoration to seal the cavity.
-
Day 4–7: Monitor for post-operative sensitivity or discomfort.
-
Day 8–14: Gingival tissue around the treated area stabilizes, with reduced inflammation and restored aesthetics.
Healing time may vary depending on gum health and oral hygiene maintenance.
Potential Issues if Left Untreated
-
Progressive decay reaching the pulp (nerve infection)
-
Tooth sensitivity to cold or sweet foods
-
Gum inflammation or localized gingivitis
-
Root caries expansion and tooth loss
-
Costlier treatments such as root canal or crown restoration
Dental Advice
Visit your nearest dental clinic immediately if you notice dark discoloration near your gum line. Early restoration prevents complications and maintains tooth strength.
Find a nearby professional using our Dental Directory:
https://cebudentalimplants.com/map-dental-clinic












