Baby Teeth Cavity Treatment: Protect Your Child’s Adult Teeth

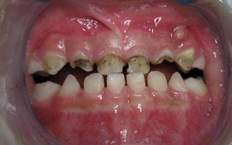
The baby teeth cavity treatment tooth decay in baby teeth affects adult teeth in two ways. The developing adult or permanent tooth is growing directly under the baby tooth. If the decay is extensive the bacteria in the cavity can cause a dental abscess. If you think your kid or child is too young to need a dentist, you're wrong the teeth are at risk. You need to take action and visit in our clinic.




















