From Pain to Perfect — We Care for Your Smile.
Localized Gum Infection With Open Lesion - Dental Case Analysis
Severity:
Teeth Problems:
Dental Case Analysis – Localized Gum Infection With Open Lesion
Case Overview
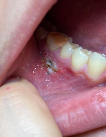
This clinical photo shows a localized infection in the posterior lower jaw, adjacent to natural teeth. An open gum lesion with visible debris and inflammation is present, suggesting an active infection at the soft-tissue and possibly underlying bone level.
Full Analysis and Diagnosis
Clinical Findings
-
Open ulcerated area on the gingiva
-
Visible yellow-brown debris consistent with infection
-
Surrounding gum tissue is red and inflamed
-
Adjacent teeth appear intact
-
Possible previous extraction or draining sinus tract
Infection Characteristics
-
Active localized bacterial infection
-
Likely source: periodontal pocket, failed extraction site, or underlying apical infection
-
Ongoing drainage suggests chronic infection
-
High bacterial load in soft tissue
Diagnosis
-
Localized gingival abscess
-
Possible chronic periodontal or apical infection
-
Soft-tissue infection with risk of bone involvement
Deep Clinical Examination
Tissue Assessment
-
Inflamed soft tissue with breakdown
-
Delayed healing response
-
Signs of chronic irritation
-
Infection likely extending below the gum surface
Risk Factors
-
Food debris trapping
-
Poor drainage or incomplete healing
-
Possible underlying tooth or bone infection
-
Reduced immune response in affected area
Time Frame to Heal
With Proper Treatment
-
Infection control: 5–10 days
-
Soft tissue closure: 7–14 days
-
Pain and swelling reduction: within 1 week
-
Full tissue recovery: 2–4 weeks
Without Treatment
-
Infection progression
-
Increased pain and swelling
-
Spread to jawbone
-
Abscess enlargement
-
Possible tooth or bone loss
Process to Execute (14-Day Window)
Days 1–3
-
Clinical examination
-
Gentle irrigation and cleaning
-
Identify infection source
-
Antibiotics if clinically indicated
Days 4–7
-
Local debridement
-
Drainage if abscess is present
-
Address underlying tooth or socket cause
Days 8–14
-
Re-evaluation of healing
-
Monitor soft tissue closure
-
Plan further treatment if bone involvement is suspected
Issues That Will Scale Up If Untreated
-
Deeper jawbone infection
-
Chronic abscess formation
-
Facial swelling
-
Systemic spread of infection
-
Increased surgical intervention
-
Tooth loss
Clinical Comments
Open gum infections rarely heal on their own. Visible drainage often means the body is attempting to release infection, but the source must be treated to prevent recurrence. Early intervention greatly improves healing and reduces complications.
Find a Dental Clinic Near You
Use our dental clinic directory to find care near you:
https://cebudentalimplants.com/map-dental-clinic












