Back Tooth Decay Case Analysis: Causes, Treatment, and Healing Timeline
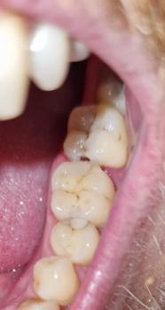
What Is Seen in This Case?
The image shows visible decay on back teeth (molars), with damaged tooth structure and discoloration. The surrounding gum tissue appears slightly irritated, which may indicate early inflammation caused by trapped bacteria.
Back teeth are more prone to decay because they are harder to clean and have deep grooves that trap food and plaque.
Most Likely Diagnosis
Based on the visual findings, the most likely conditions include:
-
Dental caries (tooth decay) on molars














