From Pain to Perfect — We Care for Your Smile.
Gingivitis and Early Gum Recession | Dental Case Analysis and Treatment Guide
Severity:
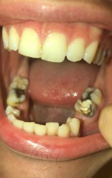
Generalized Gingivitis With Early Gum Recession and Plaque Accumulation – Full Dental Case Analysis (100% Zoom)
Medical Disclaimer
This assessment is image-based and for educational purposes only. A definitive diagnosis requires an in-person dental examination, periodontal probing, and dental X-rays. The analysis below is based on visible clinical signs and standard dental guidelines.
Case Overview (Zoom 100%)
The image shows upper and lower anterior teeth with uneven gum coloration, visible plaque accumulation, and mild-to-moderate gum inflammation, particularly along the lower front teeth. The gum tissue appears darker and swollen in areas, suggesting chronic irritation rather than acute infection.
Tooth alignment is relatively intact, but the gum margin on the lower teeth shows early signs of recession and inflammation, which can progress if not addressed.
Primary Diagnosis
-
Generalized gingivitis (gum inflammation caused by plaque)
-
Early gingival recession on lower anterior teeth
-
Plaque and early calculus accumulation near the gum line
-
Increased risk for progression to periodontitis if untreated
Deep Clinical Examination (Image-Based Findings)
-
Red-to-darkened gum coloration indicating chronic inflammation
-
Slight swelling of gingival margins
-
Plaque deposits visible along lower front teeth
-
No obvious abscess or pus formation
-
Likely contributing factors:
-
Inconsistent oral hygiene
-
Irregular professional cleanings
-
Possible smoking or lifestyle-related plaque buildup
-
Can This Heal in 14 Days?
Gingivitis does not fully resolve without professional cleaning.
However, within 14 days, appropriate care can:
-
Significantly reduce gum inflammation
-
Eliminate plaque and early calculus
-
Prevent progression to bone loss
-
Improve gum color, firmness, and comfort
Early treatment offers an excellent prognosis.
Recommended Treatment Process
Step 1: Periodontal Evaluation (Days 1–3)
-
Periodontal probing to assess gum pocket depth
-
Oral hygiene assessment
-
Dental X-rays if bone loss is suspected
Step 2: Professional Cleaning (Days 3–7)
-
Scaling and polishing to remove plaque and tartar
-
Subgingival scaling if early pockets are present
-
Antibacterial mouth rinse recommendation
Step 3: Maintenance and Prevention (Days 7–14)
-
Oral hygiene instruction (proper brushing and flossing)
-
Desensitizing toothpaste if sensitivity exists
-
Establishment of regular 3–6 month cleaning schedule
Expected Healing Timeline
-
Gum redness reduction: 5–7 days
-
Swelling improvement: 7–10 days
-
Gum firmness and color improvement: 2–3 weeks
Long-term stability depends on consistent oral care.
What Will Escalate If Untreated
-
Progression from gingivitis to periodontitis
-
Permanent bone loss around teeth
-
Increased gum recession and tooth mobility
-
Higher risk of tooth loss
-
More invasive and costly treatments
Professional Comments
This condition is common and highly treatable in its current stage. With timely professional cleaning and improved daily oral hygiene, gum health can be restored and maintained long-term.
Delaying treatment allows silent damage beneath the gums.
Strong Recommendation
Schedule a dental visit for periodontal evaluation and professional cleaning as soon as possible.
You can find a dental clinic near your location using this directory:
https://cebudentalimplants.com/map-dental-clinic
Early intervention prevents irreversible gum and bone damage.












