Dentures That Feel Natural, Look Beautiful.
Lower Molars on Both Sides With Orthodontic Appliances Case Analysis
Severity:
Teeth Problems:
What Is Seen in This Case
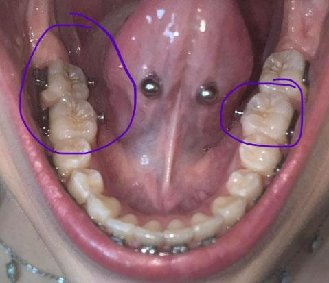
The image shows the lower jaw with molars on both the left and right sides, highlighted by circles. There are orthodontic components (brackets or attachments) present near the molars, and the chewing surfaces show plaque accumulation and early staining. The tongue piercings are visible but are not the main concern in this case.
This setup makes cleaning more difficult and increases the risk of decay around the molars.
Most Likely Diagnosis
Based on visual examination, the most likely findings include:
-
Plaque buildup around lower molars
-
Increased decay risk due to orthodontic appliances
-
Early enamel demineralization on chewing surfaces
-
Food trapping around brackets and molars
-
Mild gum irritation in hard-to-clean areas
A dental examination is needed to assess decay depth and gum health.
What Causes Problems Around Both Lower Molars
Common causes include:
-
Difficulty brushing around orthodontic appliances
-
Food getting trapped near brackets and molars
-
Inconsistent flossing or interdental cleaning
-
Prolonged orthodontic treatment without deep cleaning
Lower molars are already hard to clean, and braces increase this challenge.
Is This a Serious Problem
At this stage, the condition is manageable, but if ignored, it may scale up into:
-
Cavities forming on molars
-
Gum inflammation or infection
-
White spot lesions turning into decay
-
Bad breath
-
Need for fillings after orthodontic treatment
Early intervention prevents long-term damage.
Recommended Treatment Process
Initial Assessment (Days 1–3)
-
Dental examination
-
Evaluation of molars around brackets
-
Plaque and decay risk assessment
Active Care Phase (Days 4–7)
Treatment may include:
-
Professional dental cleaning
-
Removal of plaque around orthodontic appliances
-
Fluoride application if enamel is weakened
-
Oral hygiene instruction specific to braces
Monitoring Phase (Days 8–14)
-
Improved gum comfort
-
Reduced plaque accumulation
-
Continued monitoring during orthodontic visits
Expected Healing Time
-
Gum irritation improvement: 5–7 days
-
Plaque control stabilization: up to 14 days
Ongoing care is needed throughout orthodontic treatment.
What Happens If Treatment Is Delayed
If delayed beyond 14 days, this condition may worsen and lead to:
-
Cavities on molars
-
Gum disease
-
Permanent enamel damage
-
More complex dental treatment after braces
Prevention is easier than repair.
Home Care While Wearing Orthodontic Appliances
These steps help protect the molars:
-
Brush after every meal
-
Use interdental brushes or floss threaders
-
Rinse with fluoride mouthwash
-
Avoid sticky and sugary foods
Professional Comment
This case shows both lower molars under orthodontic treatment, an area at high risk for decay if plaque control is poor. Regular cleaning and early prevention are essential to finish orthodontic treatment with healthy teeth.
Visit a Dental Clinic Near You
For orthodontic dental cleaning and cavity prevention, visit:
https://cebudentalimplants.com/map-dental-clinic












