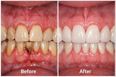
Helios Dental Clinic: Where Your Smile Meets Expert Care
About Helios Dental Clinic: Helios Dental Clinic is dedicated to providing high-quality, patient-centered dental care in a calm, modern, and welcoming environment. Our clinic combines advanced dental technology with compassionate expertise to help patients achieve healthy, confident smiles—at every stage of life.
We believe dentistry should be gentle, transparent, and tailored to each individual. From routine check-ups to advanced treatments, your comfort and oral health are always our top priorities.












