We Bring Back the Sparkle in Your Smile.
Severely Decayed Back Tooth Case Analysis
Severity:
Teeth Problems:
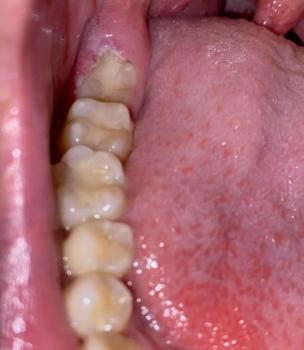
Dental Case Analysis: Severely Decayed Back Tooth (Lingual Side)
Case Overview
The image shows a posterior tooth with advanced decay located on the chewing and inner (tongue-side) surface. The cavity is deep with visible breakdown of enamel and dentin, indicating a long-standing untreated condition.
Zoom 100% Visual Examination
Observed Findings
-
Large open cavity on the back tooth
-
Extensive brown and dark discoloration indicating active decay
-
Loss of enamel with exposed dentin
-
Cavity extends toward the inner (lingual) surface
-
High risk food and bacteria retention area
-
Surrounding gum tissue appears irritated
-
Tongue positioned close to the decayed area, increasing discomfort risk
Diagnosis
Primary Diagnosis
-
Advanced dental caries (severe tooth decay)
Secondary Diagnosis
-
Possible pulp involvement
-
High risk of infection or abscess formation
Treatment Objective
-
Eliminate infection and decay
-
Relieve pain and sensitivity
-
Preserve the tooth if possible
-
Prevent spread to adjacent teeth and gums
Treatment Process to Execute
Step-by-Step Plan
-
Comprehensive dental examination and X-ray
-
Complete removal of decayed tooth structure
-
Pulp vitality assessment
-
Treatment options:
-
Deep composite restoration (if pulp is intact)
-
Root canal treatment (if nerve is affected)
-
Tooth extraction if damage is non-restorable
-
-
Final restoration with crown or replacement planning
Healing and Treatment Time Frame
First 14 Days
-
Pain and sensitivity decrease after treatment
-
Gum tissue begins healing
-
Infection risk is reduced
After 14 Days
-
Normal chewing comfort improves
-
Tooth function stabilizes
-
Full healing continues depending on treatment type
If Treatment Is Delayed
Issues That May Scale Up
-
Severe toothache
-
Dental abscess or swelling
-
Spread of infection to jawbone
-
Tooth fracture
-
Tooth loss requiring implant or bridge
Professional Comments
-
This condition is urgent and progressive
-
Delay significantly increases treatment complexity
-
Early intervention may save the tooth
-
Lingual-side decay often worsens quickly
Recommendation
Seek dental treatment as soon as possible to prevent complications.
Find a dental clinic near you:
https://cebudentalimplants.com/map-dental-clinic












