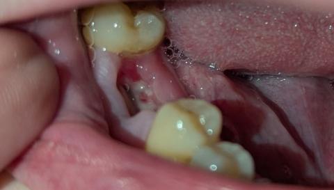
Severe Open Carious Molar With Pulp Exposure Causing Pain, Infection, and Oral Odor
Visual Examination (Zoom 100% – Clinical Findings)
Tooth involved:
-
Lower posterior molar (likely first or second molar)
Observed conditions:
-
Extensive crown destruction due to advanced dental caries
-
Open pulp chamber clearly visible
-
Dark brown to black necrotic dentin
-
Two exposed root canal orifices
-
Food debris and bacterial biofilm present













