Building Confidence One Smile at a Time.
Black Spot on Back Tooth With Gum Abscess Case Analysis
Severity:
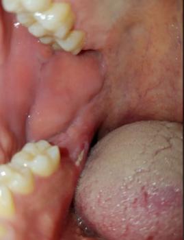
What Is Seen in This Case
The image shows a blackened area on a back tooth, with swelling of the surrounding gum tissue. The dark spot on the tooth suggests advanced tooth decay, while the raised and irritated gum indicates a localized gum abscess or infection. This combination often causes bad taste or foul odor due to bacterial activity.
This condition usually develops when decay reaches deeper parts of the tooth and spreads toward the gum.
Most Likely Diagnosis
Based on visual examination, the most likely conditions include:
-
Advanced dental caries on a back tooth
-
Localized gum abscess
-
Infection spreading from the tooth to the gum
-
Early tooth nerve infection
A dental examination and X-ray are required to confirm the depth and severity.
What Causes This Condition
Common causes include:
-
Long-term untreated cavities
-
Food and plaque trapped around back teeth
-
Poor oral hygiene in molar areas
-
Delayed dental visits
-
Breakdown of tooth enamel
Back teeth are more prone to decay because they are harder to clean.
Is This a Serious Problem
Yes. This condition is moderate to serious. If left untreated, it may scale up into:
-
Severe toothache
-
Increasing gum swelling
-
Pus discharge
-
Bad breath that does not go away
-
Spread of infection to nearby teeth
-
Jawbone infection
-
Tooth loss
Early treatment prevents complications.
Recommended Treatment Process
Initial Assessment (Days 1–3)
-
Dental examination
-
Dental X-ray to locate infection
-
Evaluation of tooth structure and gum tissue
Active Treatment Phase (Days 4–7)
Treatment may include:
-
Removal of decayed tooth material
-
Dental filling or crown if the tooth is restorable
-
Root canal treatment if the nerve is infected
-
Drainage of the abscess
-
Tooth extraction if the tooth cannot be saved
-
Antibiotics if infection has spread
Healing and Follow-Up (Days 8–14)
-
Gum swelling should reduce
-
Pain and odor improve
-
Gum tissue begins to heal
Expected Healing Time
-
Mild infection after treatment: 5–7 days
-
Moderate infection or extraction healing: up to 14 days
Healing depends on early intervention and proper care.
What Happens If Treatment Is Delayed
If delayed beyond 14 days, this condition may worsen and lead to:
-
Larger abscess formation
-
Persistent pain
-
Facial or jaw swelling
-
Bone infection
-
Emergency dental treatment
-
Higher treatment cost
Dental infections should not be ignored.
Home Care While Waiting for Treatment
These steps may reduce discomfort but do not cure infection:
-
Rinse gently with warm salt water
-
Brush carefully around the area
-
Avoid chewing on the affected side
-
Avoid sugary and sticky foods
Seek dental care as soon as possible.
Professional Comment
This case shows advanced tooth decay with gum abscess, a clear sign of active infection. Prompt dental treatment is essential to stop infection spread and preserve oral health.
Visit a Dental Clinic Near You
Find a nearby dental clinic using our directory:
https://cebudentalimplants.com/map-dental-clinic












